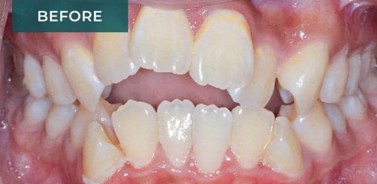
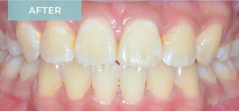
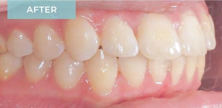
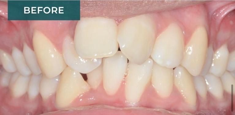
Take a look at some of our work. Please give us a call at the clinic to learn more!
*The images shown in our Smile Gallery are examples of dental treatments provided at our practice. Individual results will vary depending on each patient’s dental needs and circumstances.
*The images shown in our Smile Gallery are examples of dental treatments provided at our practice. Individual results will vary depending on each patient's dental needs and circumstances.
Smile Gallery Categories