Skip to main content
Orthodontics and Invisalign
A healthy, beautiful smile starts here

Orthodontics and Invisalign | Dentist
Improve your smile today – call to schedule a consultation!
Book Online

Orthodontics and Invisalign

Is it time for a straighter, healthier smile? Call our practice to discuss orthodontics for you or your child. We’ll assess your needs and create a customised treatment plan, whether your concerns are crowding, wide spacing or even bite misalignments.

Why Braces?

Straighter teeth are healthier teeth. When teeth are tightly packed together, twisted or overlapping, they are more difficult to keep clean. This results in decay, gum disease and other problems. Widely spaced teeth can also cause issues. The spaces have a tendency to trap food, which can lead to bacterial build-up and bad breath.

A misaligned bite can also have consequences down the road. When your teeth don’t come together correctly, the result could be a clenching and grinding habit or problems with the jaw joint. These eventually lead to damage to the teeth and pain in the jaw.

We’d like to help you prevent these problems, and braces are often the best solution.

How Braces Work

While different orthodontic options are now available, they simply can’t treat the same range of problems as conventional bracket-and-wire braces.

Every mouth is different, so we’ll design a treatment plan that fits your unique needs. Once you have approved the plan, we’ll begin by cementing the brackets to your teeth. The archwire, which runs through the brackets, does the heavy lifting of adjusting tooth placement. The wire puts pressure on your teeth, nudging them into proper alignment.

If we need additional pressure to guide your teeth, springs or rubber bands may be used. These are also effective when we are correcting bite alignment issues.

Every few weeks, we’ll check your progress and make adjustments. Orthodontic treatment is often completed in phases. This means that we may need to move one section of teeth first to make room for the other section of teeth. Your dentist will discuss this with you when presenting your treatment plan, so you know what to expect.

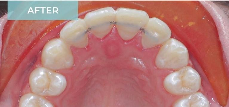
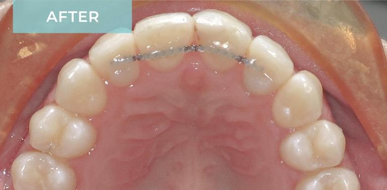
Orthodontic Retainers

Now that you’ve made an investment in the health of your smile, you’ll want to keep it that way!

Without support, your teeth will eventually drift back to their original positions. That’s where retainers come in. Your custom-made retainer will hold your teeth in place and prevent this problem.

During treatment, your teeth lose some stability. You’ll regain this stability once treatment is complete, but it will take a little while for your bones and gums to adapt. During that time, which is usually a year and could be longer, the retainer will help you maintain your new smile.

Retainers can be either fixed in place or removable. Your dentist will discuss both of these options for you and recommend the best type. This usually depends on a number of factors, including what types of corrections we have made to your teeth.

Invisalign

Are you tired of looking at misaligned teeth? You might have considered treatment to improve the look and health of your teeth but been turned off by the idea of conventional bracket-and-wire braces. 

Invisalign is a system that will give you beautiful, straight teeth without the discomfort and appearance of traditional braces.

Customised plastic trays, called aligners, are used to gently bring your teeth into the correct alignment. The aligners are worn at night and throughout the day and are only removed for eating. They are practically invisible, and most people will never know that you are wearing them.

Invisalign is available for both teens and adults. The average treatment plan lasts for about twelve months, but every plan is customised for the individual patient, so yours may be longer or shorter. We will work with you to create your own individual plan and keep you informed of the progress you are making.

Why Invisalign?

Invisalign has numerous advantages over traditional braces:

  • Traditional braces require frequent appointments to tighten the wires and check the condition of the braces. With Invisalign, you simply switch to the next set of aligners, which are created according to the order of treatment planned in advance by your dentist.
  • Braces can leave permanent marks on your teeth from the brackets. Even with good oral hygiene habits, plaque can still gather around the brackets and cause damage to the enamel of your teeth.
  • Invisalign allows you to eat any foods you want without the restrictions on sticky or crunchy foods that are known for damaging the wires and brackets of traditional braces.
  • The wires of traditional braces can poke at your mouth and cause pain and injury. 

Who Is a Candidate for Invisalign?

Are you concerned about crooked teeth? Do you have a prominent overbite or underbite?

Invisalign can treat these common problems and many others including:

  • Protruding teeth
  • Wide gaps
  • Unusual spacing
  • Crowding
  • Open bite
  • Crossbite

Caring for Invisalign

Practising good oral hygiene habits while you are being treated with Invisalign is easy. Remove the aligners and brush and floss your teeth as usual. Brush your aligner and rinse with warm water or use the Invisalign cleaning kit to keep your aligners in good shape and free from bacteria.

Never use hot water to rinse or clean your aligners. The plastic could warp. If this happens, call our clinic immediately. You should also call our clinic if your aligner becomes cracked or is damaged in any other way. A cracked aligner can impede your progress.

It’s important to always brush your teeth following a meal before you replace your aligners. If you replace your aligners without brushing, not only could you cause bacteria to become trapped against your teeth, you could also generate staining and other damage to the aligners.

Please contact our surgery to find out more information. We are happy to arrange a consultation so you can find out whether Invisalign is a good option for you.

Meet Our Doctor:

Dr John Capp

John Capp is Wollongong born and bred having attended the then selective Wollongong High School. He studied dentistry at Sydney University finishing in the top of his year being awarded the coveted Dental Operative Prize for Clinical Restorative Dentistry on graduation.

In his latter years at University, he received a Direct Entry Officer Scholarship and joined the Australian Defence Force. He practised as a dentist with the Army for five years at Puckapunyal and Townsville attaining the rank of Captain. In 1988 he set up two practices, Wollongong ...

Getting an appointment is fast and easy!
Get Started!